PreFormance® Posts, Temporary and Titanium Cylinders
Provisional Components for Certain® Internal & External Hex Implant Connections

Provisional Components Advantages
Ease of Use and Versatility
- Components can be immediately customized to a patient’s anatomical profile
- Components are made of polymer material for easy preparation
Prosthetic Flexibility
- Available for implant and abutment-level provisional restorations
- Available in internal and external hex connections
Versatile Solutions for Patients Who Demand More Choices and Faster Results
Provisional Components Options
PreFormance Provisional Case Study
By: Dr. Harold Baumgarten†, Philadelphia, Pennsylvania
If you seek aesthetic implant level provisional restorations, PreFormance Provisional Components may be customized chairside or at the laboratory for specific contours and anatomic profiles.
Fig. 1. NanoTite® Certain Implant in place. The bone was profiled around the interface.
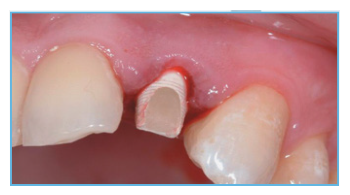
Fig. 2. A PreFormance Post was seated into the implant.
Fig. 3. The PreFormance Post was prepared intraorally to follow the gingival contours.
Fig. 4. The prefabricated crown shell was luted to the PreFormance Post.
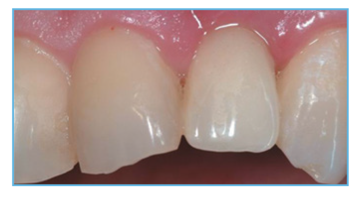
Fig. 5. The provisional restoration was fabricated, occlusal and interproximal contacts were checked, adjusted accordingly, and delivered to the patient.
Fig. 6. A periapical radiograph was taken of the provisional restoration.
† These clinicians have a financial relationship with ZimVie Dental resulting from speaking engagements, consulting engagements, and other retained services.